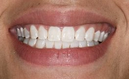
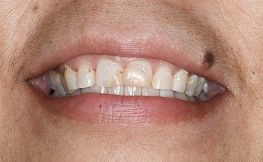
For your convenience, we have provided a dental photo gallery for you to get a better idea of the amazing work Dr. Olaitan Registe provides. Our team at Magnificent Mile Family Dental feels privileged to provide our patients with high-quality dental care in Chicago, Illinois, and we are happy to show it off to the world! If you have any questions about our pictures, we invite you to give us a call at 312-280-0034 and talk to one of our helpful staff members. We are happy to help you in any way we can!
Get To Know Us 




